The Importance of the Dental Implant Osseointegration Period
Dental Implant Osseointegration stands as the cornerstone of modern tooth replacement. Consequently, understanding this biological process is vital for anyone considering a permanent smile restoration. At Smile Design NJ in Westfield, Dr. Aristo Carranza prioritizes this crucial healing phase. He, therefore, ensures every patient achieves lasting stability.
Furthermore, this guide explores exactly why Dental Implant Osseointegration matters. We will discuss the timeline, success factors, and what you can expect during recovery. Thus, read on to learn how nature and science collaborate to restore your smile.
What Is Dental Implant Osseointegration?
Dental Implant Osseointegration is a biological term derived from Greek and Latin. Specifically, it means “bone integration.” Moreover, it refers to the structural and functional connection between living bone and the surface of a load-bearing artificial implant. This process, notably, is distinct from how soft tissue heals.
When Dr. Carranza places a titanium post into your jaw, your body reacts. Remarkably, bone cells attach directly to the metal surface. As a result, the implant becomes a permanent part of your anatomy. This fusion prevents the implant from moving. Ultimately, it allows the fixture to withstand significant biting forces.
According to the American Academy of Periodontology, this direct anchorage is essential for prosthetic stability. Without successful Dental Implant Osseointegration, an implant would simply fail. Therefore, patience during this phase is non-negotiable.
The Timeline of Dental Implant Osseointegration
Healing does not happen overnight. In fact, Dental Implant Osseointegration is a gradual journey. Generally, the process takes anywhere from three to six months. However, this duration varies based on several individual factors.
Early Phase of Dental Implant Osseointegration
Initially, a blood clot forms around the implant site immediately after surgery. Subsequently, the body begins producing new bone cells. These cells, called osteoblasts, start to weave a network around the titanium post. This activity occurs within the first few weeks.
Maturation in Dental Implant Osseointegration
Next, the bone matures and hardens. This period is when true Dental Implant Osseointegration solidifies. The connection, moreover, becomes stronger every day. During this time, you might wear a temporary crown. You must, however, avoid chewing hard foods on that side.
Timeline Overview Table
| Healing Stage | Approximate Duration | What is Happening? |
|---|---|---|
| Inflammation | Days 1-7 | The body responds to surgery; clotting occurs. |
| Proliferation | Weeks 2-6 | New bone cells begin coating the implant surface. |
| Maturation | Months 3-6 | Dental Implant Osseointegration completes; bone hardens. |
| Restoration | Month 6+ | The final porcelain crown is securely attached. |
Factors Affecting Dental Implant Osseointegration
Not every patient heals at the same rate. Indeed, several variables influence the speed and success of Dental Implant Osseointegration. Dr. Carranza, therefore, evaluates these factors carefully during your consultation in our Westfield office.
Bone Quality and Density
Naturally, stronger bone provides a better foundation. Patients with high bone density often experience faster integration. Conversely, softer bone may require a longer healing period. Occasionally, bone grafting is necessary prior to placement.
Systemic Health
Your overall health plays a massive role. Conditions like uncontrolled diabetes can slow down healing. Furthermore, the Mayo Clinic notes that immune system disorders may interfere with the body’s ability to build new bone. Therefore, a thorough medical history review is mandatory.
Lifestyle Choices
Smoking is a significant detriment to Dental Implant Osseointegration. Nicotine constricts blood vessels. Consequently, this reduces blood flow to the jawbone. This starvation of nutrients can lead to implant failure. Thus, cessation is highly recommended before surgery.
Why Dr. Carranza Prioritizes Dental Implant Osseointegration
Dr. Aristo Carranza believes in doing things right, not just quickly. At Smile Design NJ, we serve patients from Summit, Scotch Plains, and beyond who value quality. Rushing the process, unfortunately, can be disastrous. If we load a crown before Dental Implant Osseointegration is complete, the implant could loosen.
A Client Testimonial
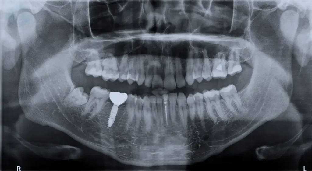
“I was eager to get my tooth back immediately. However, Dr. Carranza explained why waiting for the bone to fuse was critical. He showed me the X-rays. The education I received at Smile Design NJ was unmatched. Now, three years later, my implant feels rock solid. It was worth the wait.” – Michael T., Westfield, NJ.
Signs of Successful Dental Implant Osseointegration
How do we know if the process worked? Dr. Carranza monitors specific indicators. Primarily, the absence of pain is a good sign. Additionally, the implant should be completely immobile.
Clinical Verification
During follow-up visits, we test the stability. We also take digital imaging. Radiographs should show bone growing tightly against the metal threads. Furthermore, the gum tissue should appear pink and healthy. No signs of infection should be present.
Risks of Failed Dental Implant Osseointegration
Unfortunately, failure is possible if protocols are ignored. This condition is often called “non-integration.” It means the bone failed to grip the implant.
Common Causes of Failure
- Micro-movement: If the implant moves during healing, bone cannot attach.
- Infection: Bacteria can destroy new bone cells.
- Overloading: Putting too much pressure on the temporary tooth.
Research published in the National Library of Medicine suggests that early detection of these issues is key to saving the site for future attempts. Therefore, attending every post-operative appointment is crucial.
Tips to Enhance Dental Implant Osseointegration
You are an active participant in your recovery. Fortunately, simple actions can boost your body’s healing potential.
- Maintain Oral Hygiene: Brush gently but thoroughly. The American Dental Association recommends using soft-bristled brushes to keep bacteria away from the surgical site.
- Eat Nutrient-Rich Foods: Calcium and Vitamin D are essential for bone growth.
- Follow Instructions: Adhere strictly to Dr. Carranza’s post-op guidelines.
- Avoid Smoking: Give your body the oxygen it needs to heal.
Comparing Dental Implant Osseointegration to Veneers
It is important to distinguish between treatments. Porcelain veneers alter the surface of existing teeth. In contrast, implants replace the root entirely. Veneers do not require Dental Implant Osseointegration. They rely on bonding to enamel. However, implants rely on biological fusion. Thus, implants prevent bone loss, while veneers primarily address aesthetics.
Wisdom Teeth and Dental Implant Osseointegration
Sometimes, wisdom teeth extraction is a precursor to implant therapy. Impacted wisdom teeth can cause inflammation in the jaw. This inflammation, consequently, could hinder Dental Implant Osseointegration in nearby sites. Therefore, Dr. Carranza often addresses wisdom teeth first. This strategy ensures a pristine environment for your new implant.
Conclusion on Dental Implant Osseointegration
Dental Implant Osseointegration is a miracle of biology. It allows us to replace lost teeth with stable, permanent solutions. While it requires patience, the result is a smile that feels completely natural. Residents of Westfield and surrounding areas trust Smile Design NJ for this delicate procedure.
Your long-term health is our priority. We, therefore, focus on precision, safety, and lasting results. Do not settle for quick fixes that compromise stability.
Are you ready to restore your smile with confidence?
Schedule Your Personalized Smile Assessment at smiledesignnj.com.








