In fact, a single moment is all it takes. A bite into something unexpectedly hard, a sports mishap, or an unfortunate trip can leave you with a chipped tooth. While physically small, the emotional impact is often significant. As a result, you may become self-conscious about your smile in photos, hesitant to laugh freely during conversations, and your confidence can take a noticeable hit. You might think you have to live with this imperfection, but modern cosmetic dentistry offers a solution that isn’t just a “fix”—indeed, it’s a complete aesthetic transformation.
For those seeking the highest standard of care, the definitive answer is custom porcelain veneers. Consequently, if you’re looking for the best porcelain veneers for chipped teeth in NJ, you need a team that blends artistry with advanced dental science. At Smile Design NJ in Westfield, NJ, Dr. Aristo Carranza specializes in turning dental imperfections into flawless, radiant smiles that last a lifetime.
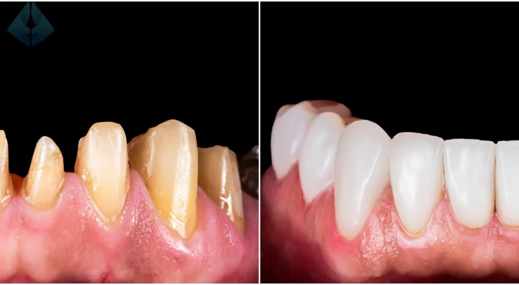
Beyond a Simple Fix: Why Porcelain Veneers Are the Gold Standard for Chipped Teeth
When a tooth is chipped, many people first learn about options like dental bonding. However, while bonding can be a suitable temporary fix, porcelain veneers operate on an entirely different level of quality, durability, and aesthetics. A porcelain veneer is a very thin, custom-fabricated shell of medical-grade ceramic that is permanently bonded to the front surface of a tooth. Think of it not as a patch, but rather as a brand-new, perfected facade for your tooth.
The magic of veneers truly lies in the material itself. Specifically, porcelain possesses a unique, translucent quality that perfectly mimics the way natural tooth enamel reflects light. This results in a restoration that is virtually indistinguishable from your other teeth, creating truly natural looking veneers. Unlike natural enamel, porcelain is also non-porous, making it highly resistant to staining from coffee, tea, red wine, and smoking. Ultimately, this means your restored smile will remain bright and vibrant for years. For patients considering a smile makeover in Summit, NJ, or surrounding areas, veneers offer a comprehensive solution that can correct chips, gaps, discoloration, and minor misalignments all at once.
Are You an Ideal Candidate for Chipped Tooth Repair in Westfield?
Porcelain veneers are a versatile and powerful tool in cosmetic dentistry; however, the foundation for any successful procedure is good oral health. For instance, an ideal candidate for porcelain veneers typically has:
Good overall dental health: Your gums should be healthy and free of periodontal disease. Any underlying issues like cavities must be addressed before cosmetic work begins.
Sufficient tooth enamel: The veneer needs a strong surface to bond to. Dr. Carranza will perform a thorough evaluation to ensure your enamel is adequate for the procedure.
A specific cosmetic goal: You may want to fix a single chipped tooth or desire a broader enhancement of your smile’s shape and color.
Commitment to oral hygiene: Maintaining your veneers requires the same excellent brushing and flossing habits as natural teeth.
We understand that every smile is unique, and so are your concerns and goals. During your private consultation at our Westfield, NJ clinic, Dr. Carranza will listen to your aspirations and conduct a comprehensive assessment. This isn’t about pushing a procedure; instead, it’s about co-designing a solution that ensures the best, most beautiful, and lasting outcome for you. As a leading cosmetic dentist in NJ, our priority is your health, comfort, and ultimate satisfaction.
The Smile Design NJ Difference: Dr. Carranza’s 5-Step Veneer Perfection Process
Achieving a world-class smile is a process that demands meticulous attention to detail. In essence, it’s an intricate dance of science and art, and it’s where the expertise of your cosmetic dentist truly shines. At Smile Design NJ, we have refined the journey to a perfect smile into a seamless, predictable, and even enjoyable experience. The quality of Dr. Aristo Carranza veneers is a direct result of this proven, patient-centric process.
Step 1: The Personalised Smile Assessment
First, your journey begins in our state-of-the-art Westfield, NJ practice. This initial consultation is a deep dive into your aesthetic goals. What do you want to change? What does your dream smile look like? We will discuss shape, size, color, and alignment, ensuring we have a complete understanding of your vision. This is followed by a thorough examination, including digital x-rays and impressions, to assess the health and structure of your teeth.
Step 2: Advanced Digital Smile Design
Next, the magic begins. Using advanced 3D imaging and smile design software, we can create a digital preview of your new smile. You get to see the final result before we even start the physical work. This collaborative step allows you to provide feedback and make adjustments, ensuring the final veneers will be exactly what you envisioned. Furthermore, this technology empowers you and removes any uncertainty from the process, putting you in control of your transformation.
Step 3: Precision Preparation & Crafting
After that, once the design is approved, Dr. Carranza will skillfully prepare the teeth. This involves removing a minuscule amount of enamel from the tooth’s surface—often less than half a millimeter—to make space for the veneer. This makes the procedure minimally invasive. We then take a final, precise impression which is sent to a master dental ceramist, who will handcraft each veneer to our exact specifications. You will leave this appointment with beautiful, custom-fitted temporary veneers that protect your teeth and allow you to “test drive” the feel of your new smile.
Step 4: The Final Artistic Placement
Finally, about two to three weeks later, your permanent porcelain veneers will be ready. At this final appointment, Dr. Carranza will remove the temporaries and place each masterpiece veneer to check for fit, color, and harmony with your overall smile. Once you have approved the look, he will permanently bond them to your teeth using a high-strength dental adhesive and a special curing light. The result is a seamless, strong, and stunningly beautiful restoration.
Comparing Your Options: Porcelain Veneers vs. Dental Bonding
When researching chipped tooth repair in Westfield, patients often encounter two primary options: veneers and bonding. While both can be effective, they are designed for different needs and offer vastly different long-term results. Therefore, understanding the distinction is key.
Característica | Porcelain Veneers | Dental Bonding |
Durabilidad | Highly durable, lasting 10-15+ years with proper care. | Less durable, typically lasts 3-7 years. |
Estética | Superior. Porcelain perfectly mimics natural enamel’s translucency. | Good initial result, but the composite resin can look opaque. |
Resistencia a Manchas | Extremely high. Porcelain is non-porous and resists stains. | Moderate. The material is porous and can stain over time. |
Procedimiento | Typically requires two visits. | Can often be completed in a single visit. |
Mejor para | Flawless, long-term correction of chips, gaps, and discoloration. | Small, minor chips or temporary cosmetic fixes. |
For patients seeking the most beautiful and durable solution, the choice is clear. While bonding offers a quick fix, veneers provide a lasting, high-end restoration that truly enhances your smile. The dental bonding vs veneers debate ultimately comes down to your long-term goals and desire for perfection.
Your Investment in a Flawless, Confident Smile
Choosing to restore your smile with porcelain veneers is more than just a dental procedure; in reality, it’s an investment in yourself. It’s an investment in the confidence to smile without hesitation in every professional and social setting. It’s also an investment in a durable, long-term solution that eliminates the cycle of repairing or replacing less-permanent options. Although the cost reflects the high-quality materials and artistic skill required, the return on investment—measured in daily confidence, a radiant appearance, and peace of mind—is immeasurable. At Smile Design NJ, we provide you with a comprehensive plan that details the value you receive, ensuring you feel comfortable and informed.
Conclusion: Don’t Let a Chip Define Your Smile
A chipped tooth doesn’t have to be a permanent flaw that dictates how you feel about your appearance. In fact, a durable, beautiful, and completely natural-looking solution is not only possible but is a specialty at Smile Design NJ. With today’s advanced materials and the artistic eye of a dedicated cosmetic dentist, you can erase that imperfection forever.
Therefore, trust the expertise of a leading cosmetic dentist in NJ. Dr. Aristo Carranza and the entire team are committed to delivering unparalleled results that look, feel, and function flawlessly.
Schedule Your Personalised Smile Assessment at smiledesignnj.com and take the first step towards your perfect smile.





